| Разработчики: | Calidar |
| Дата премьеры системы: | август 2025 г. |
| Отрасли: | Фармацевтика, медицина, здравоохранение |
Содержание |
История
2025: Анонс продукта
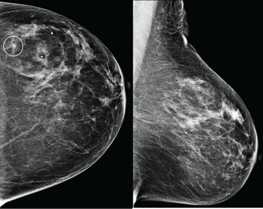
В конце августа 2025 года американский стартап Calidar представил инновационную систему 4D-маммографии, которая выводит точность диагностики злокачественных образований молочной железы на новый уровень. Эта платформа визуализации использует рентгеновскую дифракцию и искусственный интеллект для проведения исследования на молекулярном уровне.
Как отмечает Calidar, несмотря на десятилетия инноваций в области медицинской визуализации, рак молочной железы и другие заболевания мягких тканей по-прежнему трудно обнаружить неинвазивным способом с достаточной точностью. Поэтому только в США ежегодно проводятся около 1,5 млн биопсий молочной железы: причем в 80% этих случаев (примерно 1,2 млн) новообразования в конечном итоге диагностируются как доброкачественные. Такие ненужные процедуры не только создают дискомфорт для пациенток, но и обходятся более чем в $6 млрд. Кроме того, излишние биопсии увеличивают нагрузку на больницы, испытывающие нехватку персонала. С другой стороны, запоздалая диагностика из-за неубедительных результатов визуализации приводит к тому, что десятки тысяч женщин с раком молочной железы ежегодно откладывают лечение, что снижает показатели выживаемости.
Первая в своем роде система 4D-маммографии, разработанная компанией Calidar, позволяет решить существующие проблемы. Устройство измеряет, как рентгеновские лучи рассеиваются на молекулярном уровне: данный процесс известен как рентгеновская дифракция. Это создает уникальную структурную сигнатуру, которая отражает внутренний состав ткани молочной железы.Российский рынок WMS-систем: оценки, тренды и крупнейшие поставщики. Обзор TAdviser
В отличие от традиционных рентгеновских снимков, которые основаны на форме и плотности, рентгеновская дифракция предоставляет дополнительную диагностическую информацию о том, из чего состоит ткань. Эти специфичные данные позволяют классифицировать раковые и доброкачественные образования с точностью, в четыре раза превышающей показатели традиционных систем визуализации.[1]
